Skip to content

The Dental Implant Centre
& Cosmetic Dentistry Clinic

Manchester Dental 154 Flixton Road,
Urmston, Manchester
,M41 5BG

Menu
White Fillings

WHITE FILLINGS IN MANCHESTER WITH MD

White or tooth coloured fillings are an extremely aesthetic alternative to the traditional silver amalgam fillings, and are an increasingly popular choice. If you have dark or discoloured fillings that are visible when smiling or laughing, you may decide to change them for aesthetic reasons.

Composite bonding

Composite bonding is a safe and simple procedure that uses tooth-colored resin to restore the original appearance of chipped or misshapen teeth. It is an affordable option with a quick turnaround time, allowing you to walk out with a beautiful smile on the same day.

Manchester dental teeth whitening afterManchester dental teeth whitening after
Manchester dental teeth whitening BeforeManchester dental teeth whitening After
Manchester dental teeth whitening beforeManchester dental teeth whitening before

Composite bonding

Here at Manchester Dental we can offer the latest white fillings in a wide range of colours and translucencies, so we are able to closely match the colour of your teeth so your white fillings look completely natural. 

Transform your smile quickly and effectively with composite bonding at Manchester Dental. This versatile and minimally invasive procedure is ideal for repairing minor imperfections and enhancing the appearance of your teeth. Whether you have chips, gaps, or discolouration, composite bonding can provide a natural and beautiful solution.

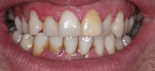
Teeth White Fillings Before and After

What is Composite Bonding?

Composite bonding involves the application of a tooth-coloured resin to your teeth. This resin is meticulously shaped and polished to blend seamlessly with your natural teeth, restoring their appearance and function. The process is quick, typically completed in a single visit, and does not require the removal of healthy tooth structure.

Why Choose Manchester Dental?

At Manchester Dental, we are committed to delivering exceptional care and stunning results. Our team of skilled dentists use the latest techniques and high-quality materials to ensure your composite bonding treatment is a success. We take the time to understand your needs and tailor our approach to give you a smile you’ll love.

Teeth White Fillings Before and After

Ready to enhance your smile with composite bonding? Schedule a consultation with Manchester Dental today and take the first step towards a more confident you.

Benefits of Composite Bonding

Quick and Painless

Most treatments are completed in just one visit, with little to no discomfort.

Minimally Invasive

Preserves your natural tooth structure.

Versatile

Effective for repairing chips, closing gaps, and covering discolouration.

Cost-Effective

An affordable cosmetic dentistry option compared to other treatments.

Natural-Looking Results

The resin is matched to the shade of your teeth for a seamless finish.

The Composite Bonding Procedure

Consultation

During your initial consultation, our experienced dentists will assess your teeth and discuss your aesthetic goals. This helps us determine if composite bonding is the right treatment for you.

Preparation

The tooth surface is lightly roughened, and a conditioning liquid is applied to ensure the resin adheres properly.

Application

The composite resin is applied to the tooth in layers. Each layer is carefully shaped and hardened using a special light.

Finishing Touches

Once the resin is fully hardened, it is polished to achieve a smooth, natural-looking finish.

CASE STUDIES OF PATIENTS TREATED AT MANCHESTER DENTAL